Aplasie
Aplasie - eine Nichtausbildung von Organen oder Zähnen, deren Anlagen eigentlich vorhanden sind
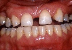
Fehlende Zähne sind nicht nur aus Gründen der Ästhetik mit Zahnersatz wie Brücken, Prothesen oder Implantaten zu ersetzen. Durch das Fehlen eines Zahnes oder mehrerer Zähne wird außerdem die Kaufunktion beeinträchtigt und die Kiefergelenke und der Kieferknochen geschädigt. Dies verursacht Schmerzen und zieht gesundheitliche Folgen nach sich. Es ist möglich, dass ein Zahn fehlt, weil er zwar im Kiefer angelegt ist, aber nicht durchbricht. Diese Anomalie wird als Aplasie bezeichnet und zeigt sich in der Pubertät. Wir erklären Ihnen, worum es sich handelt.
Definition – Was ist eine Aplasie bzw. Hypodontie?
In der Medizin spricht man von einer Aplasie (altgriechisch ἀπλασία = "Nichtausbildung") bzw. Hypodontie (Zahnunterzahl), wenn einzelne oder mehrere Zähne nicht ausgebildet werden, was möglicherweise auf eine Störung in der Organanlage oder im Knochenmark zurückzuführen ist. Meistens sind diese erblich bedingt und können familiär gehäuft auftreten. Sie können Begleiterscheinungen des Downsyndroms, einer ektodermalen Dysplasie oder Störungen des Knochenwachstums sein. Es lässt sich in den meisten Fällen nur schwer feststellen, warum Zähne oder Organe nicht ausgebildet werden; oft liegt die Ursache in genetischen Faktoren oder in der Embryonalentwicklung. Bei Organen, die im Körper doppelt oder symmetrisch angelegt sind, wie der Schilddrüse oder den Nieren, kann das Fehlen eines Organs durch das zweite kompensiert werden. Möglich ist es, dass es bereits im Embryonalstadium zum Absterben des Fötus kommt, weil lebenswichtige Organe absterben oder gar nicht erst ausgebildet werden. Laut Forschungsergebnissen kann dies auf Strahlen, Gifte oder auch Viren zurückzuführen sein, die die Blutbildung und die Bildung von Blutzellen beeinträchtigen. Sind die Zähne betroffen, sind die Folgen nicht drastisch.
Wie äußert sich eine Aplasie bzw. Hypodontie im Zahnbereich?
In der Zahnmedizin tritt dieses Phänomen häufig bei nicht ausgebildeten Weisheitszähnen auf. Diese Form gehört zu den ungefährlichen Aplasie-Arten. Aber auch im Bereich der Zähne kann es zu Aplasie kommen, die prekäre gesundheitliche Folgen haben kann und einen umfangreichen zahnmedizinischen Eingriff erforderlich macht.
Wenn Weisheitszähne nicht durchbrechen, besteht keine Gefahr und es ist aufgrund evolutionärer Theorien sogar logisch. Grund dafür ist die Rückbildung des menschlichen Gebisses. Dennoch sind seltene Phänomene bekannt, bei denen es nicht zum Durchbruch gleich mehrerer Zähne kommt, die der Mensch jedoch benötigt und die Bestandteil von einem normalen Zahnschema sind. Eine Aplasie tritt häufiger am bleibenden Gebiss auf, als am Milchzahngebiss.
Kann ich Aplasien verhindern?
Aplasien können nicht verhindert werden, da sie genetisch bedingt sind. Allerdings ist es sinnvoll, in jedem Alter regelmäßig zum Zahnarzt zu gehen und kieferorthopädische Kontrollen Ihrer Zähne und Ihres Kiefers vornehmen zu lassen. So ist der Zahnmediziner in der Lage, rechtzeitig Maßnahmen zu treffen, um sie zu korrigieren bzw. mit entsprechendem Zahnersatz zu versorgen.
Diagnose – Wie kann der Zahnarzt eine Aplasie diagnostizieren?
Eine Aplasie tritt bei bis zu acht Prozent der Bevölkerung auf und ist ein Begriff, der in der Zahnmedizin und Gesundheitsforschung häufig verwendet wird. Es erfolgt aber nicht immer eine Behandlung des Problems, weil dies von den Patienten meist gar nicht erkannt wird. Erkennbar ist sie zwischen dem 14. und 17. Lebensjahr, was auf mögliche Anomalien im Knochenmark hinweisen kann. Lebensjahr. Eltern sollten mit ihren Kindern über das Problem sprechen und eine Zahnarztpraxis aufsuchen, um mögliche Ursachen wie Anämie oder Störungen bei der Bildung von Blutzellen auszuschließen. Die Diagnose von nicht angelegten Zähnen erfolgt dann durch röntgenologische und klinische Aufnahmen. So können die verschiedenen Formen bei jedem Patienten festgestellt werden. Es wird hier deutlich, ob es sich beispielsweise um eine angeborene Zahnunterzahl (Hypodontie) handelt. Hier fehlen häufig die Weisheitszähne, aber höchstens eine Anzahl von ein bis fünf Zähnen. Liegt eine Oligodontie vor, fehlen mehr als sechs Zähne oder ganze Zahngruppen, was zu einer Beeinträchtigung der Kaufunktion führen kann. Eine Hypodontie bezeichnet die komplette Nichtanlage von Zähnen aus genetischen Gründen.
Behandlung fehlender Zähne – Behandlungsmöglichkeiten bei Aplasie bzw. Hypodontie Â
Bei Auftreten einer multiplen Nichtanlage einzelner Zähne stehen Zahnärzte vor der Herausforderung einer restaurativen, kieferorthopädischen, implantologischen und rekonstruktiven Behandlung.
In der Zahnmedizin wird die Schließung der Lücke durch eine Implantation oder eine Zahnspange diskutiert. Als Praxis arbeiten wir hier mit entsprechenden Fachleuten aus der Kieferorthopädie interdisziplinär zusammen. Bei uns sind Implantationsbehandlungen im Tiefschlaf möglich und der Patient bleibt somit schmerzfrei. Die Therapie hat immer das Ziel, die Funktionsfähigkeit der Zähne sowie die Ästhetik im Front- und Seitenzahnbereich nach Möglichkeit vollständig wiederherzustellen.
Wenn die Zahnspange bei Aplasie nicht hilft
Häufig bringt die Versorgung mit einer Zahnspange jedoch nicht den erhofften Erfolg. Falls notwendig, kann ein Knochenaufbau des Kiefers mit anschließender Implantation erfolgen. Die Zahnimplantate werden in Form schraubenartiger Stifte dann in den wieder aufgebauten Kieferknochen eingebracht und mit ansprechendem Zahnersatz versorgt. Einzelne oder Gruppen fehlender Zähne können so ästhetisch ersetzt werden. So lassen sich die Folgen für das spätere Leben der jugendlichen Patienten weitestgehend unsichtbar machen. Ein Aufbau von Kieferknochen ist nur dann erforderlich, wenn die Aplasie zu spät erkannt wurde.
Häufige Patientenfragen
- Was bedeutet es, wenn Blutzellen oder Organe im Körper fehlen?
- Fehlen von Blutzellen oder Organen kann verschiedene Ursachen haben, etwa angeborene Agenesie, erworbene Schädigung oder krankhafte Prozesse. Wenn rote Blutzellen fehlen, spricht man von Anämie; fehlt ein Organ, kann die Organfunktion eingeschränkt sein. Ein Arzt sollte zur Diagnose und Behandlung hinzugezogen werden.
- Wie unterscheidet sich Aplasie vom vollständigen Fehlen (Agenesie) eines Organs?
- Aplasie bezeichnet die Nichtausbildung oder unvollständige Entwicklung eines Gewebes oder Organs, während Agenesie das vollständige Fehlen (kein angelegtes Organ) bedeutet. Beide Zustände beeinflussen Organfunktion und Gesundheit, lassen sich aber durch bildgebende Verfahren und histologische Untersuchung unterscheiden.
- Welche Rolle spielt die Onkologie, wenn Gewebe oder Zellen fehlen oder zerstört sind?
- In der Onkologie können Tumoren durch Wachstum oder Behandlung (z. B. Chemotherapie, Bestrahlung) Gewebe und Zellen zerstören, sodass sie fehlen. Onkologen beurteilen, wie sich Therapien auf weiße und rote Blutzellen sowie auf die Organfunktion auswirken, und planen Maßnahmen zur Unterstützung der Gesundheit.
- Können fehlende Zellen oder Organe genetisch bedingt sein und wie wird das untersucht?
- Ja, viele Fälle von Agenesie oder fehlenden Zelllinien sind genetisch bedingt. Genetische Tests, Familienanamnese und molekulare Analysen helfen, Ursachen zu identifizieren. Solche Befunde können Einfluss auf Therapieentscheidungen und genetische Beratung haben.
Möchten Sie mehr über die Möglichkeiten der Behandlung einer Aplasie in der Zahnarztpraxis erfahren?
Rufen Sie uns jetzt an und vereinbaren Sie einen Termin für ein kostenloses und unverbindliches Beratungsgespräch unter:
033203/85200

Viele Menschen suchen sanfte Methoden, um die Mundgesundheit zu stärken und schädliche Bakterien zu reduzieren. Ölziehen ist eine schonende Ergänzung zur Zahnpflege –... mehr lesen »

Das Einreißen der Mundwinkel, auch bekannt als Mundwinkelrhagaden, ist ein häufiges und oft unangenehmes Problem, das durch eine Überaktivität der Talgdrüsen verschärft... mehr lesen »

Der schicke Zahnschmuck besteht aus Edelmetallen wie Gold, Weißgold, Silber, Titan und Platin und wird je nach individueller Vorstellung oft aufwendig verziert. Mit einem... mehr lesen »
Wir suchen für den Raum Berlin-Süd und Potsdam ein(e) zahnmedizinische(n) Fachangestellte(n) (m/w/d)...
Jetzt bewerben »